
06.06.2021
Trwałe Licówki Porcelanowe Łódź
Zastanawiasz się jak uzyskać diametralną metamorfozę uśmiechu? Najlepszym wyborem mogą okazać się trwałe licówki porcelanowe, które założone na zęby szybko i na długi okres czasu rozwiązują kompleks nieidealnych zębów! Licówki to nowoczesna metoda poprawiania estetyki uśmiechu. Ich zastosowanie pozwala nie tylko korygować nierówności, ale również kryć wszelkie szczeliny i przebarwienia. Licówki porcelanowe znajdujące się w ofercie stomatologii estetycznej Meritum Łódź sprawią, że Twoje zęby będą niemal idealne. Mimo, iż koszt wykonania licówek nie jest mały, to jednak warto w nie zainwestować! Jednakże w dalszym ciągu wiele osób zastanawia się czy jest to inwestycja opłacalna, chcą także wiedzieć jak należy o nie dbać, aby piękny i zdrowy uśmiech towarzyszył im jak najdłużej. Odpowiedzi na te oraz inne pytania znajdziesz w poniższym artykule! Serdecznie zapraszamy do lektury.
Licówki porcelanowe nie to nie konieczność, lecz opcja wyboru
Czy wiesz, że licówki są obecnie jedną z wielu metod, które ma do zaoferowania stomatologia estetyczna w celu poprawy ogólnej estetyki uśmiechu? To cienkie płatki najczęściej z porcelany mocowane są na zewnętrznej stronie przednich zębów, które stają się ich główną częścią. Warto poświęcić im uwagę, gdyż mogą całkowicie odmienić nasz wygląd! Oczywiście nie są one koniecznością dla zdrowia jamy ustnej, jednak dla Pacjentów mających kompleksy wywołane brzydkim uśmiechem mogą okazać się prawdziwym ratunkiem. Silne i trwałe licówki Łódź to niezwykle szybki sposób na rozwiązanie wielu problemów związanych z kosmetyką uzębienia. Ich wybór to świetne rozwiązanie zarówno w przypadku Pacjentów, którzy pragną zamaskować trudne przebarwienia jak i tych, którzy chcą skorygować asymetrie kształtu. Co więcej? Wielu Pacjentów decyduje się na nie także, aby wyeliminować przerwę między zębami bądź odbudować złamany ząb.
Jeden uśmiech nie pasuje do wszystkich
Oczywistą rzeczą jest, iż każdy z nas posiada inny, unikalny uśmiech oraz kształt zębów, który w pewnym stopniu wyraża naszą osobowość. Stomatolodzy Meritum podczas wizyty konsultacyjnej zawsze starają się doradzić, jaki odcień i kształt licówek porcelanowych będzie najlepszym wyborem. Co istotne? Do każdego przypadku podchodzimy w sposób indywidualny, rozmawiamy z Pacjentem o jego oczekiwaniach a następnie staramy się je zrealizować. Dzięki takiemu rozwiązaniu uzyskany efekt jest w pełni satysfakcjonujący dla Pacjentów!
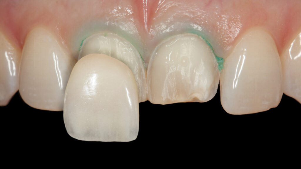
Zakładanie licówek
Powinieneś wiedzieć, że nie musisz zakładać licówek na wszystkie zęby! Owszem można je założyć na wszystkie zęby, ale również tylko na te, które wymagają korekty min: odcienia, kształtu, wielkości bądź długości. W przypadku urazu mechanicznego wystarczy jedna licówka. Trwałe licówki porcelanowe znajdują największe zastosowanie podczas korygowania niedoskonałości górnego lub dolnego łuku zębowego. Najczęściej dotyczy to zębów, które są najbardziej widoczne, czyli od „1” do „5”. Dzięki takiemu rozwiązaniu możemy odpowiednio dopasować licówki do reszty zębów w taki sposób, aby zachować spójny efekt!
Licówki Łódź są trwałe, ale musisz o nie dbać!
Jedną z najważniejszych cech licówek porcelanowych, która na pewno ma dla Ciebie znacznie, jest ich trwałość! Należy podkreślić, iż to materiał z którego wykonane są nakładki decyduje o ich właściwościach, kolorystyce i trwałości. A więc, jak długo wytrzymują trwałe licówki porcelanowe? Pamiętaj, że stosując odpowiednią pielęgnacje oraz przestrzegając zaleceń stomatologa wystarczą Ci one na 10-15 lat, a nie kiedy nawet znacznie dłużej! Bardzo wiele osób, które naszą nowoczesną technikę korygowania uśmiechu, zastanawia się jak dbać o licówki porcelanowe, aby były nie tylko piękne, ale również by na długo zapewniły uśmiech hollywoodzki. Pewną obawę budzi fakt, iż są to delikatne płytki, które przyklejone są do zęba, jednakże dzięki technice utwardzania nakładki silnie związują się z zębami, tworząc jedną stabilną całość!
Zastanawiasz się co zrobić, aby mieć trwałe licówki porcelanowe? Bardzo istotną kwestią jest przede wszystkim ich odpowiednia pielęgnacja, która jest taka sama jak w przypadku naturalnych zębów. Dlatego też konieczne jest regularne i systematyczne mycie i czyszczenie przestrzeni międzyzębowych! W niektórych sytuacjach zaleca się także płukanie płynami z fluorem. O czym warto pamiętać? To, iż nie ma znaczenia jaki typ nakładek wybierzesz! Licówki Łódź porcelanowe, ceramiczne a także kompozytowe wymagają takiego samego postępowania. Zaleca się, by unikać: obgryzania paznokci, zbyt mocnego zaciskania zębów oraz zgrzytania nimi. Co więcej? W pierwszych dniach nie należy spożywać soków owocowo- warzywnych oraz mocnej kawy i herbaty.
Licówki porcelanowe- co warto mieć jeszcze na uwadze?
Czy wiesz, że nowoczesne metody doboru licówek uwzględniają nie tylko naturalny kolor uzębienia, ale także wiek i typ urody? Z tego też powodu ważne jest, by wybrać tzw. swój styl uśmiechu. Mimo, iż może brzmieć to nieco abstrakcyjnie, to bardzo często właśnie on określa to jak jesteśmy odbierani przez innych! Według najbardziej popularnych klasyfikacji może on być:
- Zmiękczony
- Skupiony
- Młodzieńczy
- Dojrzały
- Agresywny
- Lub dominujący
Wszystko zależy od naturalnej mimiki i rysów twarzy. Jednak, jeśli decydujesz się na licówki porcelanowe, pamiętaj że mogą być one założone tylko i wyłącznie na zdrowe zęby! W tym celu należy wcześniej wykonać dokładną diagnostykę oraz przeprowadzić właściwe leczenie.
Licówki porcelanowe na zębach mają poprawić ich estetykę, dlatego ważne jest aby wybrać te odpowiednie, które będą wyglądać naturalnie i wytrzymają przez długie lata. Jeśli zainwestujesz w trwałe licówki porcelanowe zyskasz pewność i gwarancje, że Twoje zęby będą piękne i takie jak naturalne! Stomatolodzy Meritum sprawią, że wszelkie potencjalne problemy zostaną szybko rozwiązane a Ty będziesz mógł cieszyć się pięknym i białym uśmiechem przez wiele lat!
